
Carpinteria Track Field

Activation Of Latent Precursors In The Hippocampus Is

Carpinteria Track Field

Inappropriate Translation Inhibition And P Body Formation
.jpg)
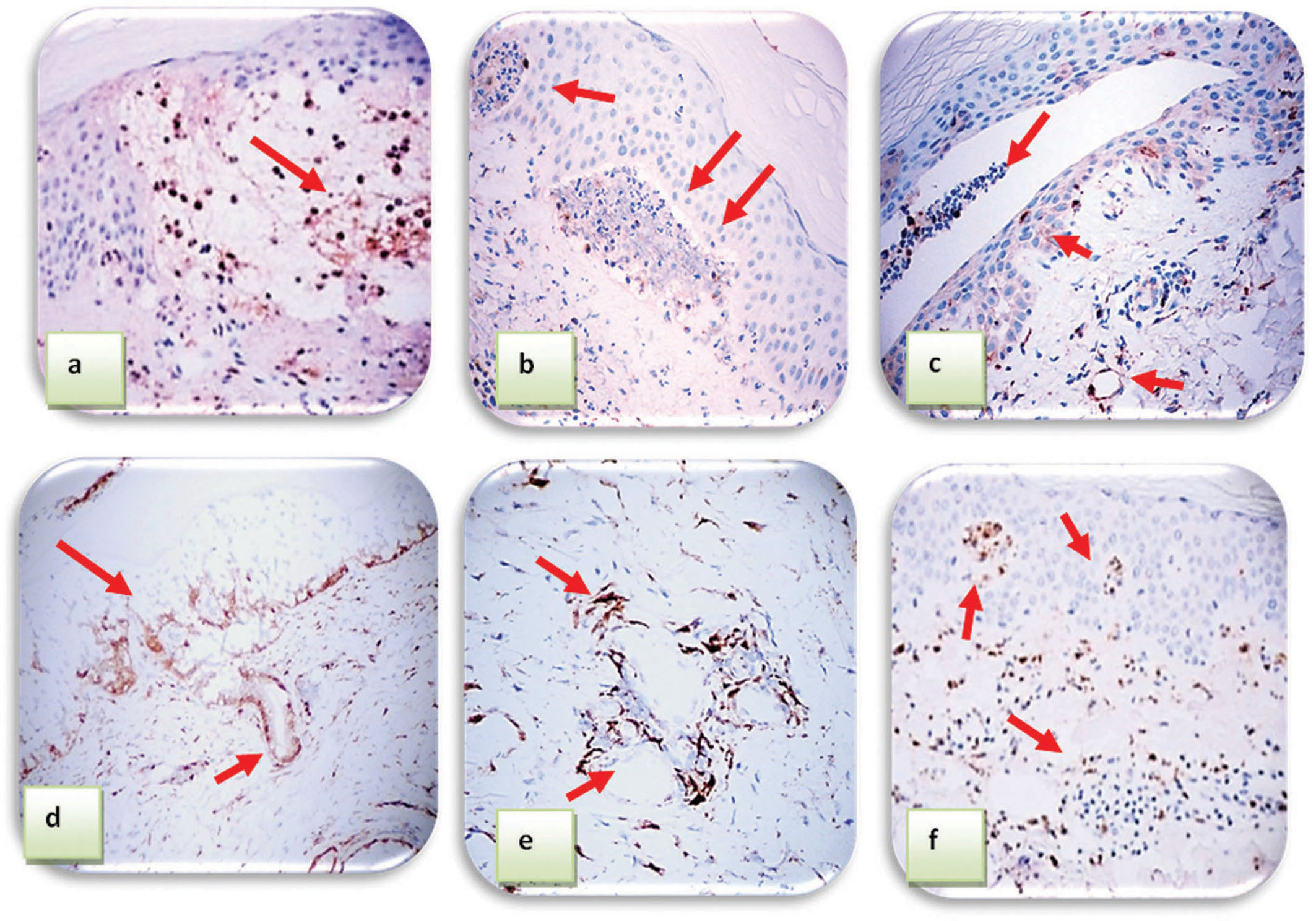
2013 3 3 Tissue Our Dermatology Online Journal
Carpinteria Cg Carpinteria Gomez Si Pages Directory

Cardiac Cell Integrated Microneedle Patch For Treating

Biliary Tract Instillation Of A Smac Mimetic Induces Trail

Coastal View News November 22 2017 By Coastal View News
A Non Canonical Pathway With Potential For Safer Modulation
Th17 And Il 17 Cause Acceleration Of Inflammation And Fat
Redwood Cluster Solar Project Environmental Impact Report

Pdf Polysialic Acid Acute Depletion Induces Structural

Coastal View News August 9 2018 By Coastal View News Issuu

Carpinteria Track Field
Perry P Valdez Carpinteria Ca Read Reviews Get A Bid

Cardiac Cell Integrated Microneedle Patch For Treating

A A Pv Case With Positive Staining For Zap 70 Inside

